
Today was the day. Seeing the bone doctor about my shoulders. I was dreading it. I hadn’t thought about it before but I suddenly realized – there was a definite risk of pain.
By the time I’d actually got to the Doctors offices I’d worked myself up into a right state. Once again we had to go through all the address/ insurance provider/ phone number/ next of kin shite.
That in itself takes a good half hour and I was sat with my clipboard and leaky pen (I’m sure they buy boxes of leaky biro’s so that no one steals them.
Oh lucky me. I was sat next to Farty McShitmahpants. He was really wafting some noxious fumes. I’m pretty sure he had a life long aversion to soap and a water. Or maybe Rabies. Probably both. It was a relief when he was called I’m telling you!
The smell kind of lingered behind him though, an unwelcome olfactory echo. It made me think, what if the person before you had sat farting on the chair? Or had a sweaty bum? It’s no good. I’m going to have to incinerate the clothes I was wearing.

There I sat. Pondering thoughts no good would come of, until FINALLY I was called. At least.. I THINK I was called. With the way they mangled my name it could have been anyone!
So off we go. Me and Nurse Sally Sunshine. Remember that happy clappy nun in Sister Act? This was her clone.

The usual weight, blood pressure, allergies etc and then the wait for an infinity for Dr Shiner Bonedome.
He bounces in with a “Heyyyy Gurl” The compulsion to come back with “Yo homeboy” nearly overwhelmed me but I refrained. No idea where that level of decorum came from but I can assure you that
A. It was a one-off and
B. It will probably never happen again.
So we get to the “Why are you here today?” Question. Again.
So I tell him. Again. I’ve knackered (technical term) both my shoulders and it’s hampering my shenanigans! I mentioned in passing that my neck hurt too so straight off to X Ray I go.

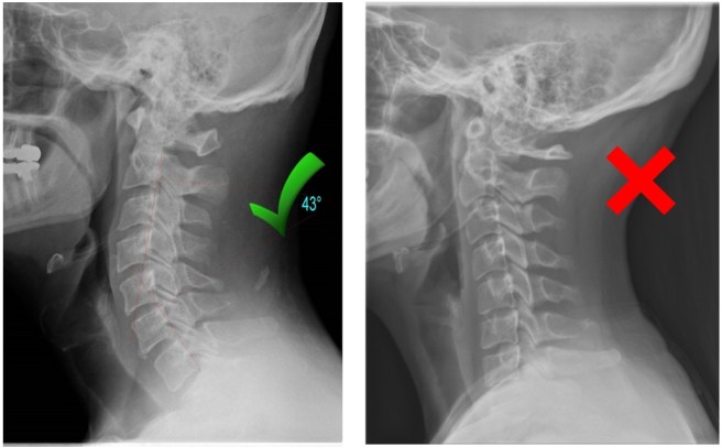
Turns out my neck is in a bit of a fix. It should have a nice curve but it’s kind of kinky. I refused to take prednisone so I’m just having four weeks of therapy and then reassessment.
As to my shoulders well he put one hand on my shoulder and went to move my arm.
My anxiety about getting hurt went waaay off the scale and I kind of hissed at him and snarled
“You hurt me I’m going to twist your nuts so hard you’ll whistle the star spangled banner every time you try to pee.”

Yeah. No idea where that came from.
He dropped my arm and took a step back like I was radioactive and said well let’s just see if physical therapy on your neck helps with your shoulders. If it doesn’t we’ll do an MRI.
We need a new doctor nurse. I broke this one!
Hope he doesn’t spoil my fun by pre warning the physical therapist!!

You always make me laugh. Glad to hear you refused prednisone. I usually take turmeric for anything involving inflammation. I once had a Dr. get pissed because I refused some kind of med he was prescribing and told him I would just take turmeric. He said “well I don’t know anything about that” I said “well I do”.
LikeLiked by 3 people
I’ve had the same with a doc getting pissed I didn’t want what he was peddling, and once I wasn’t interested in that and asked instead he figure out what’s actually wrong with me, he didn’t want to know. Out of curiosity, did the turmeric help you?xx
LikeLiked by 1 person
Yes I have used turmeric for tennis elbow, plantar fasciitis, and a hiatal hernia. It likely has helped with other things because I take it regularly. I would like to be able to go to a doctor for a diagnosis and then explore treatment options.
LikeLiked by 3 people
I need to look into this turmeric thing. Until now I’ve only used it for cooking. You can buy turmeric in tablets, correct?
LikeLiked by 3 people
Correct. It is supposed to be best absorbed if it is taken with black pepper. I think there are supplements with the two combined available as well.
LikeLiked by 3 people
Thank you!
LikeLiked by 2 people
Yes I believe you can. When my mother in law was in India she had a fall and gave her leg a nasty gash. The guide did something with turmeric for it – I don’t remember if he made a paste or used it dry – but she said it healed amazingly. She swore by it ever after.
LikeLiked by 2 people
I’m a doctors nightmare. Truly. I don’t take anything without researching it after learning the hard way about drug interactions. Ive taken pred in the past but NEVER again. The price is just too high.
LikeLiked by 3 people
Pred and the Dr. who prescribed it for two years were the beginning of the end for my mom.
LikeLiked by 1 person
I truly sympathise. I was prescribed it for over 13 months. It’s caused a lot of other problems.’
LikeLike
Glad to hear you are now taking your health matters into your own hands. Wish more people would.
LikeLiked by 1 person
Ah Britchy, Britchy and one more for grand measure Britchy!
I have nominated you and your wacky eccentroicity for The Liebster Award 🙂
https://aguycalledbloke.blog/2018/05/04/liebster-award-nomination-7/
LikeLiked by 1 person
Thank you, thank you, thank you!!
Very much, Much, MUCH!!
LikeLiked by 1 person
Muchly okay 🙂
LikeLiked by 1 person
Boo. Hope you feel better soon. I was just at the PT yesterday for my shoulder as it is hampering my shenanigans as well 😉 I didn’t , however, scare the shit out of my therapist. Maybe next week ……
LikeLiked by 1 person
God help the physical therapist that gets me.. you know I’m going to be calling him the rapist – just to piss him off! Sometimes having a non American accent can be too much fun!
LikeLike
Hahah I couldn’t help but laugh at most of this, which I shouldn’t because it sounds like a pretty traumatic appointment. The bit about “an unwelcome olfactory echo” was brilliant though. Eugh, I don’t like those insanely chirpy staff either, especially when it’s so disingenuous. I’ll keep my fingers crossed for the therapy and hope that it can help with the shoulders and neck. Any thoughts on what’s caused the neck issue, so that it doesn’t curve quite as it should? Considering your pain and anxiety over the appointment, I take my hat off to your amazing attitude. x
LikeLiked by 1 person
I was a passenger in a car a few months ago. I wasn’t paying attention when the driver did a very fast, very abrupt u turn and I hurt my neck. I’ve been waiting for it to heal itself since then but it hasn’t so I FINALLY put on my big girl knickers and went to the doc!
LikeLiked by 1 person
I was just wondering how it could not curve like that. I guess my tiny mind struggles to ‘get’ how the neck can do that. Muscles and ligaments being pulled or torn there I can understand, but not for the bone structure to be ‘kinky’. I don’t think I’m articulating this very well – I know what I mean even though nobody else will, hahah! xx
LikeLiked by 1 person
I truly don’t know either – that was how he described it! Straight with kinky bits. A Eulogy if ever I heard one 😂
LikeLiked by 1 person
You need to come up with a non-disclosure form to have people sign after meeting you if they are referring or passing you along. Really what fun is it if they are prewarned?
LikeLiked by 3 people
I know right?!
LikeLiked by 1 person
I am so sorry you are suffering. A very entertaining post nevertheless, but I feel ashamed to giggle at your excellent language when you are having such a bad time!!!
LikeLiked by 1 person
This is brilliant!!! 🙂
LikeLiked by 1 person
Obviously not the pain part…
LikeLiked by 1 person
But the way you write just cracks me up!
LikeLiked by 1 person
Thank you! 😊
LikeLiked by 1 person
You’re so hilarious!
LikeLiked by 1 person
… unless you’re a doctor, then I’m a trial!
LikeLiked by 1 person
There you go again😭👏🏽😎
LikeLiked by 1 person
How you make us laugh through your pain is brilliant.
I caution you about the neck. My X-ray looks even worse (done by a chiropractor), but it doesn’t cause any problems. We are not all carbon-copy humans. I think docs just love to look for oddities to explain pain. I seriously had an (expensive, highly rated) orthopedist tell me that my ulna was 1/32 inch too long, and that was causing my random wrist pain. Oh please!!!!
LikeLiked by 1 person
I have been having a lot of neck pain too… long drives have been very painful so I knew it was an issue, that was why I mentioned it. I’ve been waffling about going to see a doctor about that for ages too! I really don’t like the doctors here so I avoid going if I can help it!
LikeLiked by 1 person
Me either. I don’t always have good luck with chiropractors, but they have helped more than anyone in certain situations. Also a good massage therapist is helpful. Good luck!
LikeLiked by 1 person
Hope physio helps! Hampered shenanigans are very annoying!!!
LikeLiked by 1 person
I know!! There’s nothing worse!
LikeLiked by 1 person
You’re such a charming lady 😂
LikeLiked by 1 person
I’m a flippin delight I am 😂
LikeLiked by 1 person
Such a rookie mistake. You don’t sit in such places.
LikeLiked by 1 person
I’m learning!!
LikeLiked by 1 person
P.S. Check your Spam folder, one of my comments might be there. I found one of yours in mine this morning.
LikeLiked by 1 person